E-max ve Zirkonyum Kaplamalar Nedir?
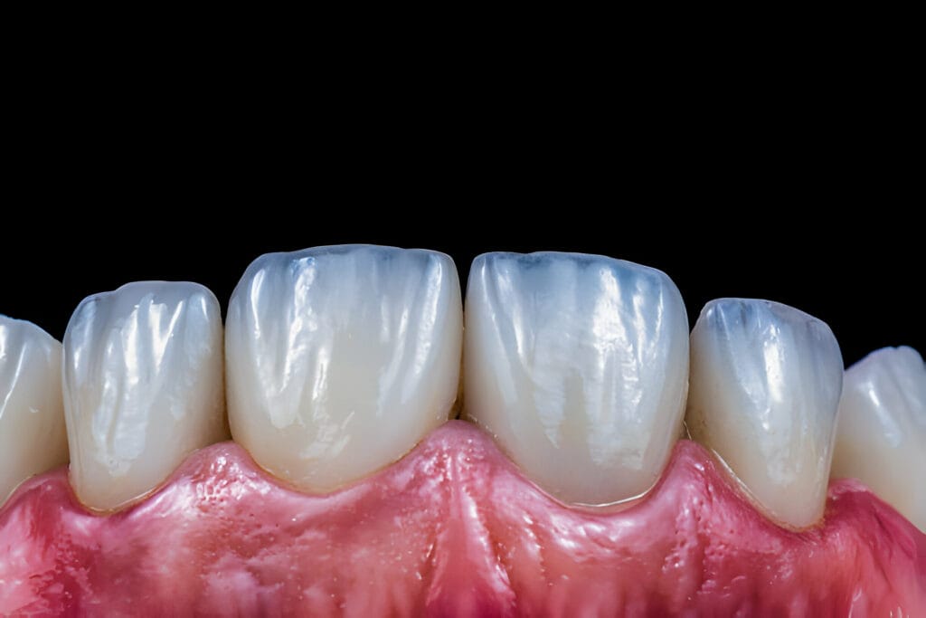
E-max ve Zirkonyum, modern diş hekimliğinde en çok tercih edilen iki tam seramik kaplama materyalidir.
Her ikisi de metal içermez, biyouyumlu ve estetik açıdan tatmin edici sonuçlar verir.
Ancak ışık geçirgenliği, dayanıklılık ve kullanım alanı bakımından farklı avantajlar sunarlar.
Bu farklar, diş hekiminin hangi durumda hangi materyali seçeceğini belirler.
E-max Kaplamalar
E-max, lityum disilikat cam seramikten üretilen tam seramik bir materyaldir.
Işık geçirgenliği sayesinde doğal diş minesine en yakın görünümü sağlar ve özellikle ön dişlerde mükemmel estetik sonuçlar sunar.
Avantajları
- Yüksek ışık geçirgenliği sayesinde son derece doğal bir görünüm sağlar.
- Metal içermez, diş etiyle mükemmel uyum gösterir.
- Minimal aşındırma ile uygulanabilir; diş dokusu korunur.
- Laminate veneer (yaprak porselen) uygulamalarında idealdir.
Sınırlamaları
- Zirkonyuma göre mekanik dayanıklılığı daha düşüktür.
- Arka dişlerde, özellikle yüksek çiğneme kuvvetine maruz kalan bölgelerde kırılma riski artabilir.
Hangi Durumlarda Tercih Edilir?
- Ön dişlerde estetik beklentinin yüksek olduğu durumlarda
- Renk, şekil veya simetri bozukluklarının düzeltilmesinde
- Laminate veneer uygulamalarında (yaprak porselen)
- Doğal ışık geçirgenliği istenen vakalarda
Zirkonyum Kaplamalar
Zirkonyum, seramik tabanlı, yüksek dayanıklılığa sahip kristalin bir materyaldir.
Hem estetik hem fonksiyonel açıdan başarılı sonuçlar verir ve özellikle arka dişlerde sağlamlığıyla öne çıkar.
Avantajları
- Çok yüksek kırılma direncine sahiptir.
- Hem ön hem arka dişlerde güvenle kullanılabilir.
- Diş eti kenarında metal kaynaklı gri yansıma oluşturmaz.
- Alerji riski yoktur; biyouyumluluğu yüksektir.
- Yeni nesil translüsent zirkonyumlar estetik açıdan da oldukça başarılıdır.
Sınırlamaları
- Klasik zirkonyum, E-max kadar şeffaf değildir; çok yüksek estetik beklentilerde sınırlı kalabilir.
- Laboratuvar aşaması daha uzun ve maliyetlidir.
Hangi Durumlarda Tercih Edilir?
- Arka dişlerde (yüksek çiğneme kuvveti uygulanan bölgelerde)
- Köprü protezlerinde (uzun açıklıklı bölgelerde)
- Bruksizm (diş sıkma) alışkanlığı olan hastalarda
- Renk maskelenmesi gereken koyu dişlerde
- Diş eti uyumu ve uzun ömürlülüğün öncelikli olduğu vakalarda
E-max mi Zirkonyum mu?
| Kriter | E-max | Zirkonyum |
|---|---|---|
| Estetik Görünüm | Mükemmel – doğal dişe en yakın ışık geçirgenlik | Çok iyi – yeni nesil translüsent modellerde başarılı |
| Dayanıklılık | Orta-yüksek | Çok yüksek |
| Kullanım Alanı | Ön diş, veneer, tek diş restorasyonu | Ön ve arka diş, köprü, implant üstü protez |
| Renk Maskelenmesi | Sınırlı | Güçlü |
| Aşındırma Gereksinimi | Minimal | Orta düzey |
| Alerji Riski | Yok | Yok |
Hekimin Değerlendirmesi Neden Önemli?
Her iki materyal de kendi içinde mükemmel sonuçlar verebilir.
Ancak doğru seçim, dişin konumu, çene kapanışı, mevcut diş dokusu kalınlığı ve estetik beklentiye göre yapılmalıdır.
Diş hekiminin klinik değerlendirmesi, kaplamanın hem estetik başarısını hem de uzun ömürlülüğünü doğrudan etkiler.
Sonuç
- E-max kaplamalar, estetiğin ön planda olduğu ön diş bölgelerinde tercih edilir.
- Zirkonyum kaplamalar, dayanıklılığın gerektiği arka bölgelerde veya köprülerde idealdir.
- Her iki materyal de metal içermez, biyouyumludur ve doğru planlama ile uzun ömürlü sonuçlar sağlar.
Estetik diş hekimliğiyle ilgili daha fazla bilgi almak için aşağıdaki yazılara da göz atabilirsiniz.

